NEUROLOGIE: Ein kürzlich zugelassenes Stimulationssystem soll mittels Künstlicher Intelligenz beginnende epileptische Anfälle erkennen und unterbrechen. Eine Chance für Patienten, die medikamentös nicht behandelbar sind.
Am Anfang steht eine umfassende Diagnostik, mittel Videoaufzeichnung, EEG und MRT. Epilepsie, auch Fallsucht genannt ist eine Erkrankung, bei der das Gehirn oder auch einzelne Hirnbereiche (Neuronengruppen) elektrisch übermäßig aktiv sind. Dadurch kommt es zu spontanen epileptischen Krampfanfällen. Manchmal zucken nur einzelne Muskeln – es kann aber auch der ganze Körper krampfen und man verliert das Bewusstsein. Diese Funktionsstörungen im Gehirn beeinträchtigen das Leben der betroffenen Kinder und Erwachsenen enorm. Im Epilepsiezentrum in der Klinik für Neurochirurgie am Universitätsklinikum Freiburg arbeiten viele Expertinnen und Experten daran, Epilepsieherde aufzuspüren und zu behandeln.
Bei mehr als einer Million Epilepsiepatient*innen in Deutschland helfen Medikamente nicht oder nicht ausreichend. Ende September ist nun der weltweit erste minimalinvasive Hirnschrittmacher für Epilepsiepatient*innen zugelassen worden, der die Anfallshäufigkeit und Stärke deutlich reduzieren kann. „Der Hirnschrittmacher kann das Leben von vielen Epilepsiepatient*innen fundamental verändern. Wir können damit Menschen, die teils Jahrzehnte unter einer nicht-behandelbaren Epilepsie gelitten haben, sehr erfolgreich therapieren“, sagt Studienleiter Schulze-Bonhage. Die dünne Membran des Stimulators wird unter der Kopfhaut platziert und verringert das Anfallsgeschehen durch leichte elektrische Impulse, die der Schrittmacher an das Gehirn abgibt.
Die wirksame Therapie weiter personalisieren
„Wir konnten bereits zeigen, dass der Hirnschrittmacher sehr wirksam ist, wenn damit ein festgelegtes Hirnareal täglich 30 Minuten lang leichte elektrische Stimulationen erfährt. Mit der neuen Studie (1) möchten wir einen Schritt weitergehen. Dann soll die Stimulation sehr schnell dann erfolgen, wenn ein Anfall beginnt“, so Schulze-Bonhage. Dabei soll über ein sogenanntes closed-loop-System die Hirnaktivität anhand eines eingebauten Elektroenzephalogramms (EEG) dauerhaft gemessen werden. Mittels Künstlicher Intelligenz sollen dann typische Signale zu Beginn eines Anfalls identifiziert werden und eine geeignete Stimulation auslösen. „Außerdem möchten wir noch genauer verstehen, für wen die Behandlung besonders vielversprechend ist. So könnten wir die Stimulation gezielt diesen Epilepsie-Patient*innen anbieten“, erklärt Schulze-Bonhage. Die Studie wird anhand bestehender und neu in der Studie gewonnener Patient*innendaten durchgeführt.
Kleiner Eingriff, große Wirkung
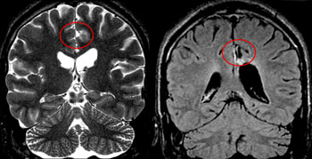
Magnetresonanz-Aufnahmen eines Patienten mit fokaler kortikaler Dysplasie vor (links) und nach der Operation. Blick von hinten auf das Gehirn. Bildquelle: Universitätsklinikum Freiburg.
Der Hirnschrittmacher wurde in bisherigen Studien bei Menschen eingesetzt, bei denen jahrelange medikamentöse Therapieversuche nicht ausreichend wirkten und bei denen ein epilepsiechirurgischer Eingriff ins Gehirn nicht in Frage kam. Das System wird unter der Kopfhaut platziert. Ein Öffnen des Schädelknochens ist nicht notwendig, was das Risiko eines solchen Eingriffs im Vergleich zu einer offenen Gehirn-Operation weiter reduziert. In den Zulassungsdaten ließ sich für viele der behandelten Patient*innen ein deutlicher Vorteil nachweisen, was Häufigkeit und Stärke der Anfälle anging. Ein Patient konnte mit dem System sogar auftretende Anfälle akut beenden und damit motorische Anfälle um rund 75 Prozent reduzieren.
Weitere Therapiemöglichkeiten
Was zunächst für Epilepsie-Patient*innen entwickelt wird, könnte künftig auch bei weiteren neurologischen Erkrankungen eingesetzt werden, bei denen es heute nur unzureichende Behandlungen gibt, etwa für die Rehabilitationsunterstützung nach einem Schlaganfall, die Behandlung von schweren Depressionen oder von abgegrenzten, chronischen Schmerzen.
Geleitet wird das Gesamtprojekt BRAIN-MEP durch das Medizintechnik-Unternehmen Precisis GmbH, auch die technische Fakultät der Universität Freiburg ist mit Projekten an der Weiterentwicklung des Hirnschrittmachers beteiligt. (Redaktion: Günter Lorenz / Quelle: Universitätsklinikum Freiburg, 30.11.2022)
Anmerkung:
(1) Die europäischen Zulassungsstudien wurden am Epilepsiezentrum des Universitätsklinikums Freiburg geleitet. In einer Folgestudie im Rahmen des Projekts Brain-MEP untersucht nun das Forschungsteam um Prof. Dr. Andreas Schulze-Bonhage, Leiter des Epilepsiezentrums der Klinik für Neurochirurgie des Universitätsklinikums Freiburg, wie mittels Künstlicher Intelligenz bereits erste Anfallssignale erkannt und durch gezielte Stimulation unterbrochen werden können, sodass es gar nicht erst zu einem Anfall kommt. Außerdem wollen die Wissenschaftler*innen und Ärzt*innen herausfinden, welche Patient*innen von der Behandlung besonders profitieren, um sie gezielt anbieten zu können. Die Studie läuft voraussichtlich bis Frühjahr 2024.
